特色医疗

当前位置: 首页>特色医疗>医疗技术>详细信息

腹胀腹大别当“发胖”——我院多学科联手,成功摘除盆腔巨型“水囊”

信息来源:微信服务号 时间:2026-04-10 文章点击率:20

肚子悄悄变大、腹胀反反复复,很多人第一反应都是“中年发福”。可你知道吗?这种看似平常的变化,背后可能藏着危及健康的巨大隐患。近日,我院妇科联合多学科团队,成功为一名52岁患者摘除盆腔巨型包块,用精准医术化解健康危机,让患者重获轻松与安心。

腹部莫名隆起,原是“巨物”作祟


图片

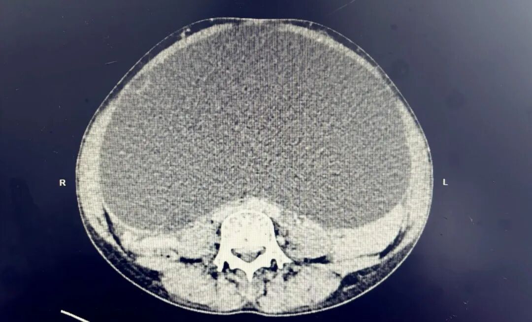
2026年3月20日,熊女士因“发现腹部增大伴腹胀5月余”入住我科。专科查体发现,其盆腔内可触及一巨大包块,上界达剑突下方,两侧延伸至腋前线,体积显著大于常见盆腔病变。该包块长期压迫腹腔及盆腔脏器,致使患者不适症状明显;加之包块性质尚不明确,暂无法排除卵巢或胃肠道来源肿瘤,这让患者及家属忧心忡忡、焦虑不已。

图片
图片


病情复杂叠加,多学科精准施策


图片

入院后,医疗团队迅速为熊女士完善血常规、肿瘤标志物、CT、MRI、胃镜等全面检查。结果显示:盆腔内为巨大多房囊性肿块,糖类抗原199等肿瘤指标升高;同时合并白细胞及中性粒细胞减少、幽门螺杆菌感染相关性胃炎、萎缩性胃炎,病情复杂,手术风险较高。


面对多重并发症,我院立即启动多学科(MDT)协作机制,联合血液科、消化内科专家共同会诊,制定分步诊疗方案:先通过升白细胞药物改善血象,同步调理胃部问题、排除手术禁忌,待身体条件达标后再实施手术,最大限度保障诊疗安全。 


高难度精细手术,完整剥离巨型病灶


图片

经过充分术前准备与风险评估,熊女士身体指标达到手术标准。3月30日,妇科手术团队在全麻下为其施行开腹双侧附件切除术。

图片


术中,团队凭借丰富经验精准分离粘连组织,细致操作、小心剥离,最终完整切除巨大粘液性囊腺瘤,最大程度减少正常组织损伤,手术顺利完成。

图片

精细化术后护理,患者顺利康复出院


图片

术后,医护团队为熊女士实施个体化康复管理,密切监测生命体征与血常规变化,及时给予抗感染、营养支持等治疗,并做好伤口护理与康复指导。


在精心照料下,熊女士恢复迅速,腹部伤口愈合良好,白细胞、中性粒细胞等指标逐步恢复正常,各项身体状况均达到出院标准,顺利康复出院。

图片


一次及时就医,一场精准救治,便可能扭转健康局面。在此也提醒广大女性朋友:腹胀、腹大千万别简单当成发胖,身体发出的异常信号,一定要重视,早检查、早诊断、早治疗。


我院妇科始终以患者为中心,深耕妇科疑难重症诊疗,依托多学科协作与精湛医术,为女性健康筑牢防线。未来,我们将继续以专业守护、暖心服务,为更多女性驱散病痛,守护稳稳的幸福与健康。